Most people assume getting veneers means permanently altering their natural teeth enamel shaved down, no going back. That single assumption stops thousands of people from ever booking a consultation. But there is a version of veneers that skips the drilling entirely, preserves your natural tooth structure, and still delivers a complete smile transformation. Veneers without shaving teeth such as Lumineers, DURAthin, or Vivaneers are available in Turkey as a minimally invasive cosmetic option, costing roughly $200–$520 per tooth (approximately £180–£400), which is 50–70% less than equivalent treatment in the US or UK. If you’ve been putting off treatment because you’re not ready to commit to irreversible changes, Turkey may be exactly the option you’ve been waiting for.
What Are Veneers?
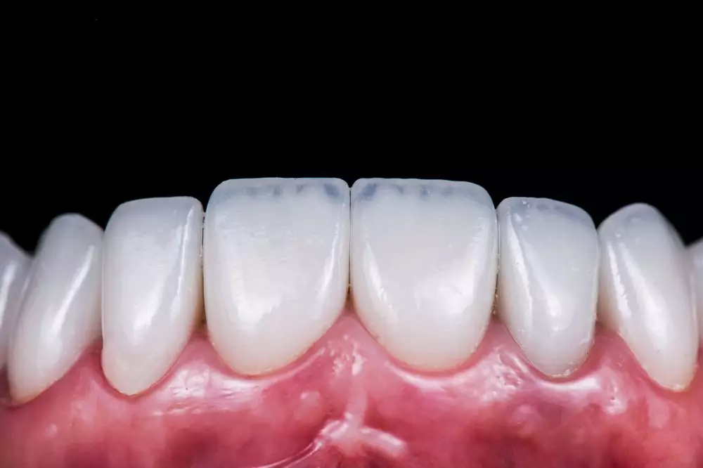
Veneers are ultra-thin, custom-made porcelain or composite shells bonded to the front surface of teeth to correct cosmetic imperfections including discoloration, chips, gaps, minor misalignment, or uneven tooth shape.
Unlike crowns, which require capping the entire tooth, veneers only cover the visible front face. Traditional veneers involve removing 0.5–1 mm of enamel to make room for the shell a permanent, irreversible change. No-prep veneers solve this problem entirely. At just 0.2–0.3 mm thick roughly the width of a contact lens they bond directly onto the natural tooth surface without any grinding, shaving, or injection in most cases.
Can I Get Veneers Without Shaving Teeth?
Yes. No-prep veneers are a clinically proven option for patients with healthy, reasonably aligned teeth who want cosmetic improvement without permanently altering their enamel.
Because no tooth structure is removed, the procedure is completely reversible something traditional veneers cannot offer. Brands like Lumineers, DURAthin, and Vivaneers are specifically engineered for this purpose, using advanced ultra-thin porcelain that bonds securely without needing additional space created by drilling.
You are likely a good candidate if:
- Your teeth are healthy with no active decay or gum disease
- You want to fix mild staining, minor chips, small gaps, or slight unevenness
- Your bite is stable and well-aligned
- You want a reversible, enamel-preserving solution
No-prep veneers are not suitable for: severe crowding, significant misalignment, heavily decayed teeth, or cases requiring structural restoration. A clinical assessment which reputable Turkish clinics offer online before you travel is essential.
Procedure for No-Prep Veneers in Turkey
One of the most compelling aspects of no-prep veneers is the simplicity of the process. Most patients complete the full treatment within 5–7 days, making Turkey an ideal destination for combining dental treatment with a short trip.
Step 1 — Consultation & Digital Smile Design Your dentist uses digital 3D imaging and smile simulation software to design your new smile without touching the existing tooth structure. You see a preview of your results before any clinical work begins.
Step 2 — Impression Taking Since no drilling or enamel removal is required, there is no need for local anesthesia or temporary veneers in most cases. Precise digital scans or physical impressions are taken and sent to the laboratory making the process faster and significantly more comfortable than traditional veneer preparation.
Step 3 — Custom Fabrication Your veneers are crafted from ultra-thin, high-grade porcelain materials such as E-max, Lumineers porcelain, DURAthin, or Vivaneers — customized to match your desired shade, shape, and translucency. Fabrication typically takes 3–5 working days in a high-quality Turkish dental lab.
Step 4 — Final Bonding The veneers are trial-fitted, checked for color accuracy and bite alignment, then permanently bonded directly to the enamel using a specialized dental adhesive. The entire bonding appointment usually takes 1–2 hours.
Step 5 — Final Review & Aftercare Guidance Bite, aesthetics, and comfort are confirmed before you leave. Your clinic provides aftercare instructions and — in most international patient programs remote follow-up support after you return home.
Total treatment time in Turkey: 5–7 days. No anesthesia required in most cases. No recovery period.
How Long Do No-Prep Veneers Last?
Porcelain no-prep veneers typically last 10–15 years when proper care is maintained a lifespan comparable to traditional veneers.
Key factors that affect longevity:
- Oral hygiene — Daily brushing and flossing prevent gum recession and bacterial buildup along veneer margins
- Bruxism (teeth grinding) — A custom night guard is strongly recommended for grinders to prevent chipping or debonding
- Diet habits — Limiting hard foods, ice biting, and heavily staining beverages (coffee, red wine) extends porcelain life
- Quality of placement — High-grade E-max or Lumineer porcelain placed by an experienced cosmetic dentist significantly outperforms cheaper alternatives over time
Routine dental check-ups every 6 months are sufficient to maintain and monitor no-prep veneers long-term.
Cost of No-Prep Veneers in Turkey (2025–2026)
Turkey’s dental tourism sector has matured into one of the most cost-competitive and clinically reliable markets in the world particularly in Istanbul. The savings compared to Western prices are significant, even after flights and accommodation are factored in.
| Treatment | Cost in the US | Cost in the UK | Cost in Turkey |
|---|---|---|---|
| Lumineers (per tooth) | $1,500 – $2,500 | £800 – £1,400 | $420 – $520 / £225–£350 |
| Composite no-prep (per tooth) | $400 – $900 | £250 – £600 | From $100 / ~£80 |
| Full set – 8 teeth | $10,000 – $18,000 | £6,000 – £11,000 | $2,000 – $3,500 |
| Full set – 16–20 teeth | $20,000 – $40,000 | £12,000 – £25,000 | $3,200 – $5,500 |
What’s typically included in Turkish all-inclusive packages:
- Initial consultation and digital smile design
- All clinical appointments and X-rays
- Laboratory fabrication fees
- Hotel accommodation (included by many clinics)
- Airport and hotel transfers
- Temporary veneers if required
- Remote aftercare and follow-up support
Patients from the UK and Europe consistently report saving 60–75% versus home country pricing even with all travel costs included.
Key Benefits of No-Prep Veneers in Turkey
- Enamel preservation — No significant shaving or filing of the natural tooth structure is required
- Reversibility — Because the tooth is not permanently altered, the procedure can theoretically be undone
- Durability — High-quality E-max and Lumineer materials provide 10–15 years of reliable wear
- Natural aesthetics — Ultra-thin porcelain mimics the translucency and light reflection of natural enamel
- Speed — Full treatment completed in 5–7 days with no recovery downtime
- Cost efficiency — 50–70% savings compared to US or UK pricing, with all-inclusive packages available
Important note: No-prep veneers are not a universal solution. Candidates typically need well-aligned, structurally healthy teeth, as this technique cannot correct significant overcrowding, misalignment, or decay. A consultation — available online through most reputable Turkish clinics — will confirm your suitability before you commit to anything.
Frequently Asked Questions
Are no-prep veneers in Turkey as good quality as in the US or UK?
Leading Turkish dental clinics use the same internationally sourced porcelain materials (E-max, Lumineers) and CAD/CAM technology as Western practices. Many cosmetic dentists in Istanbul hold international training and accreditations. Verifying a clinic’s patient reviews, before-and-after portfolio, and material certifications is always recommended.
Will no-prep veneers look thick or unnatural?
No when correctly designed and placed, ultra-thin porcelain veneers integrate seamlessly with natural teeth. A skilled lab technician customizes shade, shape, and translucency to your individual smile. The result should be indistinguishable from natural enamel.
How do I get started with treatment in Turkey?
Most reputable Turkish clinics offer free online consultations. You submit photos of your teeth and a brief description of your goals, and receive a personalized treatment plan and itemized cost estimate before booking any travel.
Does Turkey offer financing or payment plans for veneers?
Many clinics accept international payments and offer phased payment options. It is worth asking directly about payment structure when requesting your online consultation.
Your Smile, Our Passion
Ready to Transform Your Smile?
Fill in our quick form and our team will contact you to confirm all details and answer your questions.









